Gum disease is not limited to adults. Periodontitis (inflammation of the supporting tissues of the teeth or also known as the periodontium) can also occur in young people. Periodontal disease can generally be divided into different types including chronic, aggressive and necrotizing periodontal disease; with aggressive periodontitis commonly seen in the younger age group. Continue reading
Tag Archives: chronic periodontitis
Chronic Adult Periodontitis: Treatment and Prevention
Continued from the previous part
Management of chronic periodontitis
Treating periodontitis can be by the means of:
1) Control of bacterial plaque – The home remedy for periodontitis is a good oral hygiene regimen. Effective plaque removal is important for the success of controlling periodontitis. Extra care in tooth brushing and the use of interdental cleaning aids for example floss and small brushes to clean in between the teeth are required to resolve gingivitis. Your dentist may advise you to use 0.12% chlorhexidine mouth rinses for chemical plaque control. You can also make your own mouthwash using salt, baking soda or essential oils to reduce the amount of bacteria in your mouth. Local factors that disrupt proper plaque control should be removed, altered or controlled. Continue reading
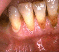
Chronic Adult Periodontitis: Cause and Symptoms
Periodontitis means inflammation of the supporting tissues of the teeth or also known as the periodontium. Periodontal disease can generally be divided into chronic, aggressive and necrotizing periodontal disease.
Chronic periodontitis can appear at any age but is most prevalent in adults. The disease is characterized by inflammation of the supporting structures of the teeth and loss of gum attachment due to destruction of the periodontal tissues. Prevalence and severity of the disease increase with age. The levels of chronic periodontitis can be classified as: Continue reading


