Dentinogenesis imperfecta is an inherited disorder of the dentine affecting the primary and permanent dentitions. It can be associated with a medical condition which is known as Osteogenesis imperfecta.
Patients with osteogenesis imperfecta are present with clinical features :
-Â Â Â Â Â Â Â Â Â Short stature
-Â Â Â Â Â Â Â Â Â Loss of hearing
-Â Â Â Â Â Â Â Â Â Dentinal changes ( We will discuss more about this later)
-Â Â Â Â Â Â Â Â Â Fragile bones
Osteogenesis imperfecta is caused by mutations/defect in the collagen type I genes which are responsible in formation of bone. It is an autosomal dominant medical disorder. Chorionic villus sampling ( a test done during early pregnancy to find out certain problems with your baby) can be done if the disease runs in your family. The management of osteogenesis imperfecta depends on the severity of the disease. Bisphosponates which is a type of drug to treat osteoporosis, is  often prescribed for patients with osteogenesis imperfect to strengthen the bones.
Prevalence of dentinogenesis imperfecta
Dentinogenesis imperfect is reported to have an incidence of 1 in 6000 population.
Types of dentinogenesis imperfecta
Type I : associated with osteogenesis imperfecta, more severe in the primary dentition.
Type II : Has the same clinical features as type I dentinogenesis imperfecta but it is not associated with osteogenesis imperfecta
Type III: This is a rare condition and it only occurs in the Bradywine population. Â Teeth has large pulp chamber with thin shell of enamel and dentine. (This is known as Shell teeth)
Dental manifestations of dentinogenesis imperfecta
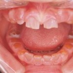
-Â Â Â Â Â Â Â Â Â Clinically, your teeth may look amber, grey or purple bluish
-Â Â Â Â Â Â Â Â Â Enamel is poorly adherent to the underlying dentine, thus they are easily chipped off and wear.
-Â Â Â Â Â Â Â Â Â Radiographically, pulp chambers can be obliterated and crowns are bulbous.(initially they have large pulp chamber during eruption)
-Â Â Â Â Â Â Â Â Â Rapid wear of the dentine layer. This will cause loss of vertical dimension and early pulpal involvement.
-Â Â Â Â Â Â Â Â Â In general, there will be early loss of teeth.
-         Dentine of the involved teeth maybe exposed. However, patient will not complain of sensitivity due to sclerosis.
-Â Â Â Â Â Â Â Â Â Â
Differential diagnosis of dentinogenesis imperfecta
1)     In dental conditions such as amelogenesis imperfecta, the enamel is soft and easy to wear off. Hence, exposure of the underlying dentine is common. Unlike dentinogenesis imperfecta, the patient will feel sensitive when the dentine is exposed.
2)Â Â Â Â Â Intrinsic discoloration. Patients with certain medical conditions such as congenital erythropoietic purpura might have red brown depositions on their teeth and bone. Usage of drugs such as tetracycline during childhood can also cause brown/yellow stains on your teeth.
3)Â Â Â Â Â Regional odontodyplasia (roots of your teeth are also short, and they have a very large pulp chamber)
Management of dentinogenesis imperfecta
The main objectives of treating patients with dentinogenesis imperfecta is to:
-Â Â Â Â Â Â Â Â Â Preserve the occlusion
-Â Â Â Â Â Â Â Â Â Improve the aesthetics of the patient
-Â Â Â Â Â Â Â Â Â Provide normal function
-Â Â Â Â Â Â Â Â Â Allow normal growth of jaw bones and eruption of the permanent teeth.
Primary dentition
-Â Â Â Â Â Â Â Â Â 1) Stainless steel crowns can be placed at the posterior teeth to prevent tooth wear and maintain the occlusal vertical dimension.
-Â Â Â Â Â Â Â Â Â 2) Tooth colored dental restorative materials can be used to build up anterior teeth, followed by placing porcelain crowns. However, these intracoronal restorations may not last in severe cases.
1)     In severe cases, overdentures can be placed over remnants of roots and crowns. Children can adapt well to overdentures but they need to be reviewed regularly and dentures have to be remade as the child grows.
2)Â Â Â Â Â Root canal treatment is not recommended in teeth with short roots.
The entire treatment process can be very long and the child might need to undergo treatment under general anaesthesia. Hence, it is important to gain commitment and support from both parents and child.
Permanent dentition
The dental practitioner should perform frequent monitoring on the patient’s dental condition when the permanent teeth are erupting. One way to prevent further tooth wear is to place crowns on the molars. Missing teeth are usually replaced by dentures.Dental implants can be placed once growth is completed.
